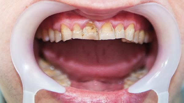
门牙牙龈处有个洞怎么办
门牙牙龈处有个洞可通过补牙、根管治疗、牙龈修复手术、药物治疗、调整口腔卫生等方式治疗。门牙牙龈处有洞可能与龋齿、牙周炎、外伤、牙齿发育异常、牙龈萎缩等原因有关。

1、补牙
龋齿导致的门牙牙龈处有洞通常需要进行补牙治疗。龋齿是牙齿硬组织被细菌侵蚀形成的病损,表现为牙齿表面出现龋洞,可能伴随牙齿敏感或疼痛。医生会清除龋坏组织后使用复合树脂或玻璃离子水门汀等材料填充龋洞。龋齿患者可遵医嘱使用氟化钠甘油糊剂、氟化亚锡溶液、氨硝酸银溶液等药物辅助治疗。
2、根管治疗
当龋洞较深已伤及牙髓时需要进行根管治疗。牙髓炎或根尖周炎可能导致门牙牙龈处出现瘘管或凹陷,表现为牙龈肿胀、自发痛或咬合痛。医生会清除感染牙髓并进行根管预备、消毒和充填。根管治疗后可能需要使用甲硝唑芬布芬胶囊、头孢克洛分散片、布洛芬缓释胶囊等药物控制感染和疼痛。
3、牙龈修复手术
牙龈萎缩造成的牙龈缺损可能需要进行牙龈移植手术。牙龈萎缩可能与牙周炎、刷牙方式不当、牙齿排列不齐有关,表现为牙龈边缘退缩、牙根暴露。医生会从腭部取结缔组织移植到缺损部位,术后需使用复方氯己定含漱液、西吡氯铵含片、康复新液等药物预防感染。

4、药物治疗
牙周炎引起的牙龈病变需要配合药物治疗。牙周炎是牙周支持组织的慢性炎症,可能导致牙龈出现溃疡或凹陷,伴随牙龈出血、口臭等症状。可遵医嘱使用盐酸米诺环素软膏、替硝唑片、阿莫西林克拉维酸钾片等药物控制感染,同时进行龈上洁治和龈下刮治。
5、调整口腔卫生
改善口腔卫生习惯有助于预防牙龈问题复发。建议采用巴氏刷牙法每日刷牙两次,使用牙线清洁牙缝,定期进行口腔检查。避免吸烟、过量饮酒等损害口腔健康的行为,保持均衡饮食有助于牙龈组织修复。

门牙牙龈处有洞需要根据具体病因采取相应治疗措施,建议尽早就诊口腔科检查。日常生活中应选用软毛牙刷避免损伤牙龈,刷牙时力度适中,可配合使用含氟牙膏增强牙齿抗龋能力。饮食上减少高糖食物摄入,适当补充维生素C和钙质,避免用门牙啃咬硬物造成牙齿损伤。定期每半年进行一次口腔检查和洁牙,及时发现并处理口腔问题。