牙龈疼嗓子疼怎么回事
牙龈疼嗓子疼可能与口腔溃疡、扁桃体炎、牙龈炎、咽喉炎、龋齿等因素有关,可通过调整饮食、药物治疗、口腔护理等方式缓解。建议及时就医,明确病因后遵医嘱治疗。

1、口腔溃疡
口腔溃疡可能导致牙龈和嗓子疼痛,通常表现为口腔黏膜出现圆形或椭圆形溃疡面,周围红肿。口腔溃疡可能与免疫力下降、维生素缺乏、口腔黏膜损伤等因素有关。患者可在医生指导下使用复方氯己定含漱液、西地碘含片、口腔溃疡散等药物缓解症状。保持口腔清洁,避免辛辣刺激性食物有助于溃疡愈合。
2、扁桃体炎
扁桃体炎会引起嗓子疼痛,炎症可能扩散至牙龈区域。扁桃体炎通常由细菌或病毒感染引起,伴随发热、吞咽困难等症状。医生可能建议使用阿莫西林胶囊、头孢克肟分散片、蒲地蓝消炎口服液等药物。患病期间应多休息,适量饮用温水,避免过度用嗓。
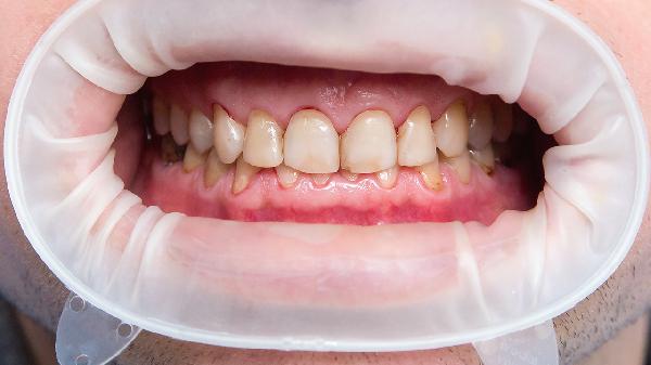
3、牙龈炎
牙龈炎主要表现为牙龈红肿、出血,严重时疼痛可能放射至咽喉部位。牙龈炎与牙菌斑堆积、口腔卫生不良有关。可使用甲硝唑口颊片、复方硼砂含漱液缓解症状,同时加强刷牙和使用牙线清洁。定期口腔检查和洁牙有助于预防牙龈炎复发。

4、咽喉炎
咽喉炎会导致嗓子疼痛,炎症刺激可能引起牙龈不适。咽喉炎多由病毒或细菌感染、过度用嗓等因素引起,伴随咳嗽、声音嘶哑等症状。医生可能开具西瓜霜润喉片、银黄含片、盐酸左氧氟沙星片等药物。保持室内空气湿润,避免吸烟饮酒有助于症状改善。
5、龋齿
龋齿引发的牙髓炎可能导致牙龈疼痛,炎症扩散可能引起嗓子不适。龋齿与口腔卫生不良、糖分摄入过多有关,表现为牙齿变色、敏感或疼痛。需及时进行补牙治疗,严重时可能需根管治疗。可使用丁硼乳膏缓解牙龈肿痛,同时减少甜食摄入,保持良好刷牙习惯。

牙龈疼嗓子疼期间应注意保持口腔卫生,每日刷牙两次并使用牙线清洁。饮食以清淡易消化为主,避免过硬、过烫或辛辣食物。适量饮用温水有助于缓解咽喉不适。如症状持续不缓解或伴随发热等全身症状,应及时就医检查,避免自行用药延误病情。定期口腔检查可预防相关疾病发生。