7个月宝宝掉床下了后脑勺着地该怎么办
7个月宝宝掉床下后脑勺着地可通过观察精神状态、检查外伤、避免摇晃、及时就医、影像学检查等方式处理。婴幼儿头部外伤可能由颅骨发育不全、平衡能力差、看护疏忽、高处坠落、颅内损伤等原因引起。

1、观察精神状态
立即检查宝宝是否清醒,观察有无哭闹、嗜睡或烦躁不安。若宝宝能正常哭泣且意识清醒,可能与轻微软组织挫伤有关。家长需持续监测24小时,避免让宝宝立即入睡。若出现异常需就医。
2、检查外伤
轻轻触摸后脑勺检查有无肿胀、淤青或出血。发现头皮血肿可冷敷10分钟,间隔20分钟重复。禁止按压或热敷。开放性伤口需用无菌纱布覆盖后送医,避免自行涂抹药物。
3、避免摇晃
头部受伤后禁止摇晃或颠簸宝宝,需保持平卧位转运。摇晃可能加重潜在的脑震荡或颅内出血风险。哺乳时应采用侧卧姿势,减少头部活动。

4、及时就医
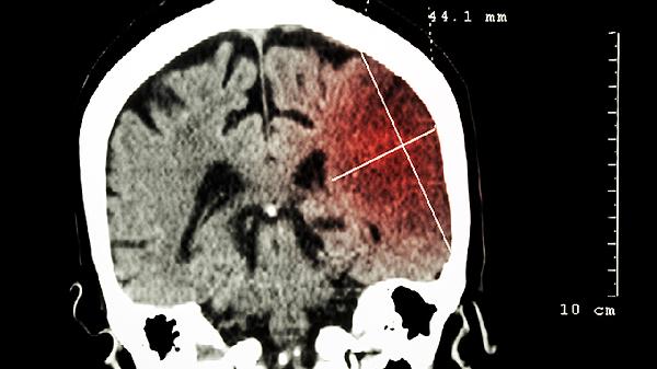
出现呕吐、抽搐、瞳孔不等大、持续哭闹时,可能与硬膜下血肿、脑挫裂伤有关,需急诊进行头颅CT检查。婴幼儿颅骨缝隙未闭合,外伤后更易发生颅骨凹陷性骨折。
5、影像学检查
医生可能根据情况安排头颅超声或CT。婴幼儿前囟未闭合时,超声可初步筛查颅内出血。CT能明确颅骨骨折及出血量,但需权衡辐射风险,通常用于严重外伤评估。

宝宝坠床后24小时内需保持安静环境,避免剧烈活动。哺乳时可少量多次喂养,减少呕吐风险。后续3天注意观察进食、睡眠及行为变化,定期测量头围。家中应安装床栏,换尿布时需全程看护,沙发、餐椅等高处须有人监护。建议学习婴幼儿急救知识,掌握海姆立克急救法等技能。