脑供血不足最后发展成什么
脑供血不足长期未干预可能发展为短暂性脑缺血发作、脑梗死、血管性痴呆等疾病。脑供血不足主要由动脉粥样硬化、高血压、颈椎病等因素引起,典型表现为头晕、视物模糊、肢体麻木等症状。

1、短暂性脑缺血发作
短暂性脑缺血发作是脑供血不足的常见进展形式,主要表现为突发性单侧肢体无力、言语含糊或失语,症状通常在24小时内完全缓解。该病与颈动脉斑块脱落或小血栓形成有关,需通过颈动脉超声、磁共振血管成像等检查确诊。临床常用阿司匹林肠溶片、硫酸氢氯吡格雷片等抗血小板药物预防血栓,配合阿托伐他汀钙片稳定斑块。
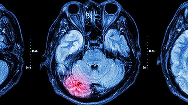
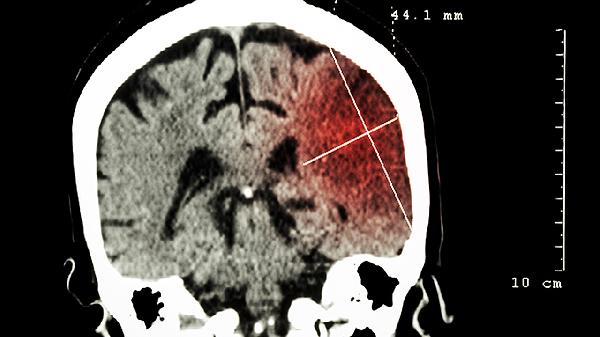
2、脑梗死
持续性脑供血不足可能导致局部脑组织坏死,形成脑梗死。患者会出现偏瘫、面瘫、吞咽困难等持续性神经功能缺损,头颅CT显示低密度病灶。发病机制涉及动脉闭塞、血流灌注不足,需紧急静脉溶栓或取栓治疗。恢复期可选用胞磷胆碱钠胶囊、丁苯酞软胶囊改善脑循环,配合银杏叶提取物片促进神经修复。
3、血管性痴呆
慢性脑供血不足会引起多发性腔隙性脑梗死或白质病变,逐步发展为血管性痴呆。临床表现为记忆力减退、执行功能障碍、情绪波动,影像学可见脑室周围白质疏松。治疗重点在于控制血压血糖,使用尼莫地平片改善脑微循环,配合盐酸多奈哌齐片延缓认知衰退。

4、帕金森综合征
部分长期脑供血不足患者可能出现血管性帕金森综合征,表现为步态冻结、运动迟缓等锥体外系症状。这与基底节区多发小梗死灶相关,需通过左旋多巴片试验性治疗鉴别,配合金刚烷胺片改善运动功能。
5、癫痫发作
严重脑供血不足导致脑皮层缺血性损伤后,部分患者会继发癫痫。表现为局部肢体抽搐或意识丧失,脑电图显示异常放电。需长期服用丙戊酸钠缓释片或左乙拉西坦片控制发作,定期监测血药浓度。

脑供血不足患者应保持低盐低脂饮食,每日食盐摄入不超过5克,适量食用深海鱼、坚果等富含不饱和脂肪酸的食物。每周进行3-5次有氧运动如快走、游泳,每次30分钟以上。严格监测血压血糖,避免长时间低头或颈部剧烈活动。若出现新发头痛、呕吐或意识障碍,须立即就医排查急性脑血管事件。