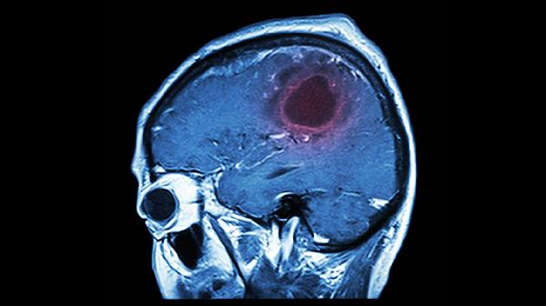
小脑血栓严重会怎样 小脑血栓这些症状很严重
小脑血栓严重时可能导致共济失调、眩晕、恶心呕吐、言语障碍及意识障碍等症状。小脑血栓属于缺血性脑卒中,主要由动脉粥样硬化、心源性栓塞、血液高凝状态等因素引起,需紧急就医干预。

1、共济失调
小脑血栓会破坏小脑对肢体运动的协调功能,表现为行走不稳、持物坠落、动作笨拙等。患者可能无法完成指鼻试验或跟膝胫试验,严重时需依赖轮椅活动。急性期可通过阿司匹林肠溶片、氯吡格雷片等抗血小板药物改善血流,配合丁苯酞软胶囊保护神经功能。
2、眩晕呕吐
小脑前下动脉供血区血栓常引发剧烈眩晕,伴随频繁呕吐和眼球震颤。症状易与耳石症混淆,但持续时间超过24小时且对体位改变无缓解。甲磺酸倍他司汀片可调节前庭功能,严重呕吐时需使用盐酸昂丹司琼注射液防止脱水。
3、构音障碍
小脑蚓部血栓会影响发音肌肉协调,导致言语含糊、音节分离或爆发性语言。患者虽能理解他人说话,但表达时出现抑扬顿挫异常。早期语言康复训练联合胞磷胆碱钠胶囊治疗有助于功能恢复。

4、意识障碍
大面积小脑梗死可能压迫脑干网状结构,引起嗜睡、昏迷等意识改变。伴随瞳孔不等大或呼吸节律异常时提示脑疝风险,需紧急行去骨瓣减压术。监测颅内压可使用甘露醇注射液降低脑水肿。
5、生命体征紊乱
小脑血栓进展至脑干受压时,可能出现血压骤升、心率减慢等库欣反应。部分患者合并中枢性高热或应激性溃疡,需通过冰毯物理降温和注射奥美拉唑钠保护胃肠黏膜。

小脑血栓急性期应绝对卧床,避免头部剧烈转动加重脑干压迫。恢复期需在康复医师指导下进行平衡训练和步态矫正,饮食以低盐低脂流质为主,预防误吸风险。定期监测血压血糖,遵医嘱服用阿托伐他汀钙片稳定斑块。出现头痛加剧或瞳孔变化时须立即返院复查头颅CT。