肺癌晚期竟年年体检正常?医生叹惋漏了这项检查太可惜
体检报告上那串"未见异常"的字样,曾让多少人误以为自己胜券在握?直到咳嗽里带出血丝,CT片上那片阴影才撕开温柔的假象——肺,这个沉默的器官,连求助都显得格外含蓄。你可知道,那些躺在体检套餐里的常规项目,可能早就对早期肺癌亮起了绿灯。

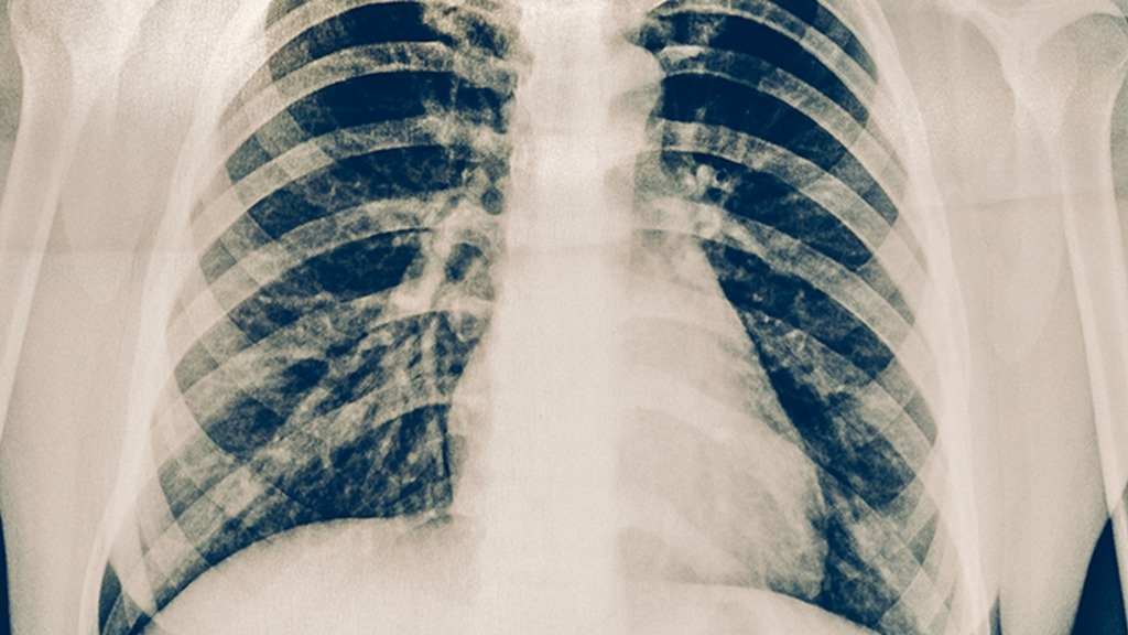
常规胸片为何成了"漏网之鱼"
1.分辨率局限性
普通X光就像隔着毛玻璃看风景,1厘米以下的结节很容易与血管影重叠混淆。而早期肺癌往往以直径5毫米以下的磨玻璃结节悄悄潜伏,等它长到能被胸片识别时,早已错过最.佳干预时机。
2.盲区死角
心脏后方、膈肌顶部,这些被医学影像学称为"隐匿区"的地带,恰好是胸片拍摄时的天然死角。据统计,约15%的肺部病灶会完美躲过胸片"扫射"。
被误解的低剂量CT筛查
1.辐射量并非想像中可怕
一次低剂量CT的辐射量约1-2毫西弗,相当于自然环境下半年接受的辐射总和。比起传统CT6-8毫西弗的剂量,已经做了减法中的减法。
2.费用没有传说中昂贵
三甲医院定价通常在300-500元区间,部分城市已将其纳入医保特殊门诊报销范围。与其纠结检查成本,不如想想晚期治疗六位数的靶向药账单。
这些信号是肺部的摩斯密码
1.持续三周以上的咳嗽
区别于感冒后的阵咳,这种咳嗽往往没有痰液或带有金属音色,夜间平卧时可能加重。
2.不明原因体重下降
没有刻意节食减肥,体重却在3个月内减轻10%以上,就像身体在悄悄燃烧储备能量。
3.手指末节膨大
医学上称为"杵状指",指甲根部与皮肤形成的角度大于180度,形似鼓槌。这是长期慢性缺氧导致的特殊变形。
高危人群的精准防御策略
1.吸烟指数计算公式
每天吸烟包数×烟龄年数>400的人群,肺癌风险是普通人的10-25倍。即使已戒烟,15年内仍需保持警惕。
2.特殊职业暴露史
接触石棉、氡气、焦油的工作环境,或者长期处于PM2.5超标的空气污染中,肺部相当于持续遭受微创伤。
3.家族遗传基因
直系亲属有肺癌病史的人群,患病风险提高2-3倍。这与某些基因突变(如EGFR、ALK)的遗传倾向有关。
别等咳嗽声变成警.钟才想起关爱肺部,那些查不出异常的体检报告,可能只是还没用对探测仪。当低剂量CT逐渐替代普通胸片成为筛查新标准,我们或许能更早听见这个沉默器官发出的微弱信号。生命经不起概率游戏,有些检查值得专门去做。