30岁后体检必看这一项!很多人查出肺癌已经太晚
30岁仿佛是一道分水岭,身体开始悄悄发出信号。有些人觉得体检就是走过场,直到咳嗽久久不愈才后悔莫及。肺部检查往往被排在体检清单的末尾,殊不知这个沉默的器官一旦预警,可能为时已晚。

一、为什么肺部筛查容易被忽视
1.早期症状具有欺骗性
肺部不适常被误认为普通感冒,干咳、胸闷这些信号太容易被忙碌的上班族忽略。有人直到爬楼梯气喘才意识到问题,此时病灶可能已经存在较长时间。
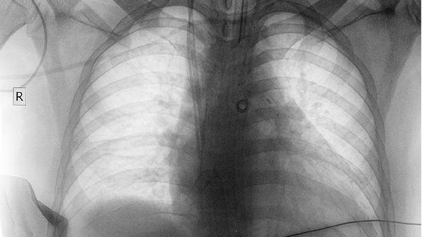
2.传统检查存在局限性
常规胸片对微小病灶识别度有限,就像隔着毛玻璃看风景。而低剂量螺旋CT能清晰显示毫米级结节,这种检测方式辐射量仅相当于乘坐两小时飞机。
二、30+人群需要警惕的信号
1.持续两周以上的咳嗽
排除感冒后的干咳尤其要注意,特别是伴随血丝的情况。夜间平卧时加重的咳嗽,可能是肺部发出的求救信号。
2.不明原因的体重下降
没有刻意节食却突然消瘦,这种异常代谢状态往往暗示着健康隐患。肺部问题会影响全身能量消耗,导致体重异常波动。

三、筛查策略要做这些调整
1.长期吸烟者要更早关注
烟草接触史会大幅提升风险指数。这类人群应该将筛查年龄提前,检查频率也要高于普通人群。
2.特定职业需重点防护
经常接触粉尘、油烟的工作环境会对呼吸道造成持续刺激。厨师、装修工人等高危职业要缩短筛查间隔。
四、日常防护的实用方法
1.保持空气流通很关键
密闭空间容易积聚有害物质,每天开窗通风能让肺部呼吸到新鲜空气。在雾霾天尽量减少户外剧烈运动。
2.饮食中加入护肺元素
白色食物通常对呼吸道有益,像梨、百合这类食材可以适当补充。但最重要的还是均衡饮食,保证每日营养摄入。

肺部健康需要长期维护,年轻时建立筛查意识能为未来保驾护航。定期检查就像给身体做年检,发现问题才能及时处理。别等身体拉响警报才后悔,现在就开始关注呼吸健康。