怎么确定是菌阴性肺结核
菌阴性肺结核是指痰涂片和培养检查中未发现结核分枝杆菌,但通过其他检查手段如影像学、病理学等确诊的肺结核。确定是否为菌阴性肺结核需要结合临床症状、影像学检查、病理学检查及分子生物学检测等多方面综合判断。

临床症状:菌阴性肺结核的常见症状包括长期低热、盗汗、乏力、体重下降、咳嗽、咳痰等。这些症状虽不特异,但若持续数周以上,需高度怀疑肺结核的可能性。特别是对于有结核病接触史或免疫力低下的人群,更应引起重视。
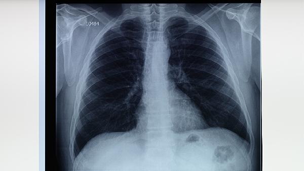
影像学检查:胸部X线或CT检查是诊断肺结核的重要手段。菌阴性肺结核的影像学表现通常为肺部浸润性病变、空洞、纤维化或钙化灶。CT检查能更清晰地显示病变的细节,有助于与其他肺部疾病如肺炎、肺癌进行鉴别。
病理学检查:对于影像学检查高度怀疑肺结核但痰涂片和培养阴性的患者,可通过支气管镜或经皮肺穿刺获取组织样本进行病理学检查。病理学检查若发现典型的结核性肉芽肿或干酪样坏死,可确诊为肺结核。

分子生物学检测:分子生物学技术如PCR聚合酶链反应和GeneXpert检测可直接检测结核分枝杆菌的DNA,具有高灵敏度和特异性。这些方法能在痰涂片和培养阴性的情况下,快速检测出结核分枝杆菌的存在,为诊断提供重要依据。
免疫学检查:结核菌素皮肤试验TST和γ-干扰素释放试验IGRA可用于评估机体对结核分枝杆菌的免疫反应。阳性结果提示曾感染结核分枝杆菌,但不能区分活动性结核与潜伏感染,需结合其他检查结果综合判断。
治疗建议:一旦确诊为菌阴性肺结核,需尽早开始抗结核治疗。常用药物包括异烟肼、利福平、吡嗪酰胺和乙胺丁醇,疗程通常为6-9个月。治疗期间需定期复查影像学和痰涂片,评估疗效并调整治疗方案。对于耐药结核病,需根据药敏试验结果选择二线抗结核药物。

菌阴性肺结核的诊断和治疗需要多学科协作,结合临床症状、影像学、病理学和分子生物学等多方面信息。早期诊断和规范治疗是改善预后的关键。若出现疑似症状,应及时就医,避免延误病情。