20岁男子肺癌去世,平时爱运动锻炼,医生叹息:4个坏毛病改不了
20岁就因肺癌离世?这个案例让很多年轻人惊出一身冷汗。明明经常运动锻炼,怎么还会被肺癌盯上?其实运动只是健康拼图的一角,生活中那些被忽视的坏习惯,可能正在悄悄摧毁你的肺部。

一、运动也救不了的4个致.命习惯
1、电子烟当玩具
以为电子烟比传统香烟安全?最新研究显示,电子烟产生的气溶胶会损伤肺泡上皮细胞。那些水果味的烟雾里,藏着甲醛、重金属等有害物质。
2、熬夜成瘾
凌晨两点的游戏对局、追剧马拉松,都在透支肺功能。睡眠不足会导致肺部修复机制受阻,免疫细胞活性下降,让致癌物有机可乘。
3、烧烤配啤酒
每周超过两次的高温烧烤,会产生多环芳烃等强致癌物。滚烫食物加上冰镇啤酒,冷热交替刺激更是雪上加霜。
4、情绪火山
长期处于焦虑、抑郁状态,体内炎症因子持续升高。这些"情绪毒素"会降低肺部清除有害物质的能力,相当于给癌细胞铺红毯。
二、年轻人护肺的黄金法则
1、呼吸要"挑剔"

避开早晚高峰尾气,雾霾天戴好防护口罩。室内常开空气净化器,养几盆绿萝、虎皮兰等吸甲醛植物。
2、饮食加"护盾"
多吃苹果、西兰花等含槲皮素的食物,帮助修复肺损伤。每周保证3次深海鱼类摄入,补充抗炎的Omega-3。
3、运动讲技巧
避免在马路旁跑步,改为游泳、瑜伽等室内运动。运动时采用腹式呼吸,深度锻炼膈肌。
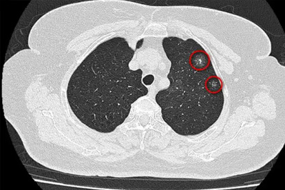
4、体检要趁早
即使没有不适,25岁后也该每年做一次低剂量螺旋CT。有家族史的更要提前筛查,早期肺癌治疗几率可达90%。
三、这些信号别当成小毛病
持续两周以上的干咳、运动后胸闷、不明原因消瘦,都可能是肺部在报.警。千万别把咳血丝当作"上火",咯血无论多少都是危险信号。

那位20岁患者的病历显示,其实半年前就有晨起痰中带血的情况。当时如果及时检查,或许结局会完全不同。年轻不是健康的保险箱,改掉那些看似无伤大雅的坏习惯,才是对生命最好的投资。从今天开始,给娇嫩的肺部多些温柔呵护吧!