肺癌一发现就是晚期,医生提醒,患上肺癌的人,常有四个共同点
很多人心中有个疑问,肺癌一发现就是晚期吗?其实患上肺癌的人,常有四个共同点,下面我们一起来探讨一下真相。

一、为什么肺癌总在晚期才被发现?
肺部没有痛觉神经,早期病变几乎不会发出疼痛警.报。当出现持续咳嗽、胸痛等症状时,肿瘤往往已经发展到中晚期。这种"沉默"特性让肺癌成为最危险的癌症之一。
二、肺癌患者的四个典型特征
1、长期吸烟史
每天吸烟20支以上的人群,肺癌发病率是不吸烟者的10-20倍。烟草中的焦油会持续损伤支气管黏膜,诱发细胞突变。
2、长期接触油烟
厨房油烟中含有苯并芘等强致癌物。数据显示,非吸烟女性肺癌患者中,超过60%有长期接触厨房油烟的病史。
3、职业暴露风险
从事采矿、石棉加工、化工等行业的人群,长期吸入粉尘和有害气体,肺部会形成慢性炎症,最终可能发展为肺癌。
4、家族遗传倾向
直系亲属中有肺癌病史的人群,患病风险比普通人高出2-3倍。这可能与某些基因突变有关。
三、早期筛查的黄金期
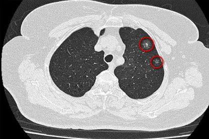
1、低剂量CT检查
相比普通胸片,能发现小至2毫米的肺部结节。建议高危人群每年做一次。

2、肿瘤标志物检测
通过血液检查特定蛋白指标,可作为辅助诊断手段。
3、支气管镜检查
对可疑病灶进行活检,是确诊的金标准。
四、预防胜于治疗的三大要点
1、立即戒烟
戒烟10年后,肺癌风险可降低50%。任何时候戒烟都不算晚。
2、改善厨房通风
使用强效抽油烟机,烹饪时全程开启,减少油烟吸入。
3、做好职业防护
接触粉尘的工作必须佩戴专业防护口罩,定期进行肺部检查。

记住,40岁以上有吸烟史的人群,每年做一次低剂量CT检查是最有效的预防措施。当出现持续两周以上的咳嗽、痰中带血、不明原因消瘦等症状时,务必及时就医检查。健康的生活方式加上定期筛查,才是对抗肺癌最有力的武器!