什么情况下需要拍脑部CT
脑部CT检查通常适用于头部外伤、持续头痛、疑似脑血管疾病、神经系统症状或脑肿瘤筛查等情况。主要有头部外伤后意识障碍、突发剧烈头痛伴呕吐、单侧肢体无力或麻木、癫痫发作无明确诱因、长期头痛伴随视力下降五种情况需要及时检查。

1、头部外伤后意识障碍
头部受到撞击后出现短暂昏迷或持续嗜睡,可能发生颅内出血或脑挫裂伤。典型表现为受伤后呕吐、记忆缺失、瞳孔不等大。需警惕硬膜外血肿和脑水肿风险,临床常用甘露醇注射液降低颅压,配合吡拉西坦注射液改善脑代谢。外伤后24小时内是CT检查黄金期。
2、突发剧烈头痛伴呕吐
突发的炸裂样头痛伴随喷射性呕吐,需排查蛛网膜下腔出血或脑出血。常见于高血压患者血管破裂,可能伴随颈项强直和畏光症状。CT能快速显示出血部位,必要时需联合腰椎穿刺检查。急性期可使用尼莫地平片预防血管痉挛,配合氨甲环酸注射液控制出血。
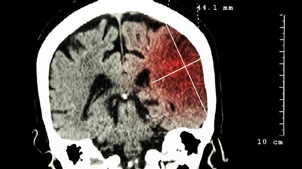
3、单侧肢体无力或麻木
突发半身无力或感觉异常提示脑卒中可能,CT可鉴别脑梗塞与脑出血。发病3小时内可见缺血半暗带,超过24小时能显示梗死灶。常伴随言语含糊和面瘫,需紧急评估后使用阿替普酶注射液溶栓。腔隙性梗死患者可选用阿司匹林肠溶片联合氯吡格雷片抗血小板治疗。

4、癫痫发作无明确诱因
成人首次癫痫发作需通过CT排除脑部结构性病变。可能由脑炎、寄生虫或肿瘤引起,典型表现为发作后Todd麻痹。扫描可见海马硬化或钙化灶,必要时需增强CT检查。控制发作可用左乙拉西坦片,难治性癫痫考虑丙戊酸钠缓释片。
5、长期头痛伴随视力下降
进行性加重的头痛合并视物模糊,需警惕垂体瘤或颅咽管瘤。CT能显示蝶鞍区占位病变,可能伴随内分泌紊乱症状。视神经受压时需紧急手术减压,药物治疗可用溴隐亭片控制泌乳素型垂体瘤生长。定期复查监测肿瘤变化。

进行脑部CT检查前应去除金属饰品,孕妇需评估辐射风险。检查后建议多饮水促进造影剂排泄,有过敏史者需提前告知医生。日常需控制高血压等基础疾病,突发神经系统症状应立即就医。长期头痛患者建议建立头痛日记记录发作特点,避免过度依赖止痛药物掩盖病情。保持规律作息和适度运动有助于脑血管健康。