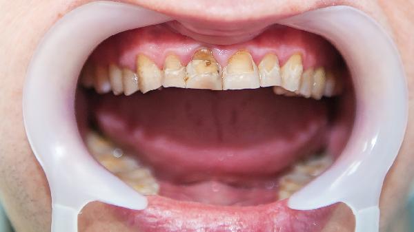
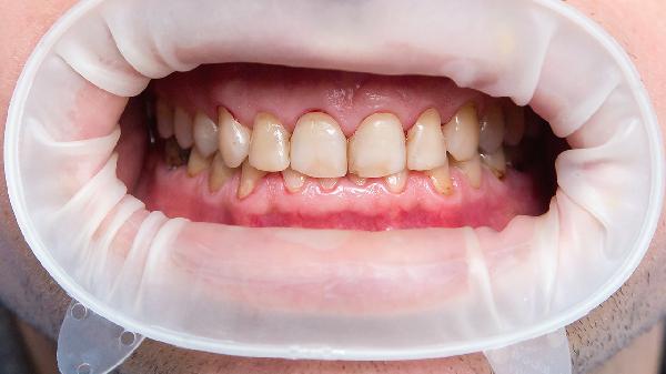
牙龈退缩怎么治疗
牙龈退缩的治疗方法包括改善口腔卫生、牙周治疗和手术治疗。牙龈退缩可能由牙周炎、不良刷牙习惯或遗传因素引起,需根据具体原因采取相应措施。

1、改善口腔卫生
牙龈退缩的常见原因是牙菌斑和牙结石的积累,导致牙周组织受损。每天使用软毛牙刷和牙线清洁牙齿,避免过度用力刷牙。建议选择含氟牙膏,帮助强化牙釉质,减少牙龈刺激。定期使用抗菌漱口水,抑制口腔细菌繁殖,降低牙龈炎症风险。
2、牙周治疗

对于牙周炎引起的牙龈退缩,需进行专业的牙周治疗。牙周刮治和根面平整是常见方法,通过清除牙根表面的牙菌斑和牙结石,促进牙龈组织愈合。激光治疗也是一种有效手段,能精准去除病变组织,减少出血和疼痛。牙周治疗后,定期复查和护理至关重要,防止病情复发。
3、手术治疗
当牙龈退缩严重时,可能需要手术治疗。牙龈移植术是一种常用方法,从患者自身口腔其他部位取健康牙龈组织,覆盖在退缩区域,恢复牙龈形态和功能。引导组织再生术通过植入生物材料,刺激牙龈和牙槽骨再生,改善牙龈退缩问题。微创手术技术创伤小,恢复快,适合轻度至中度牙龈退缩患者。

牙龈退缩的治疗需要根据病因和严重程度选择合适的方法。早期干预和良好的口腔护理习惯是预防和治疗的关键。如果出现牙龈退缩症状,应及时就医,避免病情进一步恶化。通过科学治疗和日常护理,可以有效改善牙龈健康,恢复口腔功能。