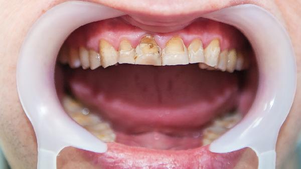
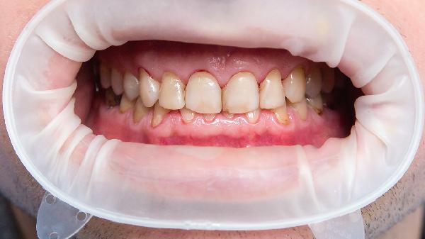
牙龈和嘴唇交界处长了个包块
牙龈和嘴唇交界处长包块可能是黏液腺囊肿、口腔溃疡或根尖周炎等疾病的表现。该症状通常与局部创伤、感染或腺体阻塞等因素有关,建议及时就医明确诊断。

1、黏液腺囊肿
黏液腺囊肿是口腔小唾液腺导管阻塞导致的囊性病变,常见于下唇内侧。可能与反复咬伤、局部刺激有关,表现为半透明柔软包块,直径多在5-10毫米。确诊后可通过手术切除治疗,常用术式包括囊肿摘除术或激光切除术。术后需保持口腔清洁,避免再次机械刺激。
2、口腔溃疡
重型阿弗他溃疡可能形成较大炎性包块,溃疡基底呈黄色假膜,周围充血明显。发病与免疫异常、维生素缺乏或精神压力相关。临床可选用复方氯己定含漱液消炎,配合重组人表皮生长因子凝胶促进愈合。疼痛明显时可短期使用利多卡因胶浆局部麻醉。
3、根尖周炎
相邻牙齿根尖炎症扩散可能形成唇侧脓肿,伴随牙齿叩痛和咬合不适。需拍摄牙片确认病灶牙,进行根管治疗消除感染源。急性期可口服阿莫西林克拉维酸钾片控制感染,配合布洛芬缓释胶囊缓解疼痛。脓肿成熟后需切开引流。

4、口腔扁平苔藓
该慢性炎症性疾病可能表现为白色条纹伴黏膜下结节,好发于颊黏膜和牙龈。病因涉及自身免疫异常,临床常用曲安奈德口腔软膏局部涂抹,严重者需口服泼尼松片。需定期复查监测癌变风险,避免辛辣食物刺激。
5、良性肿瘤
纤维瘤或脂肪瘤等良性增生可能表现为无痛性实性包块,生长缓慢。通过超声检查可初步判断性质,确诊需病理活检。较小肿瘤可观察随访,影响功能或美观时选择手术切除。术后标本必须送病理检查排除恶性可能。

日常应注意保持口腔卫生,使用软毛牙刷轻柔清洁患处,避免过硬食物摩擦。出现包块增大、出血、麻木等症状需立即就诊。吸烟者应戒烟以减少黏膜刺激,糖尿病患者需严格控制血糖。建议每半年进行一次口腔检查,早期发现口腔黏膜病变。