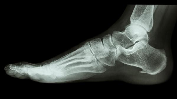
脚后跟骨裂多长时间能恢复 脚后跟骨裂的四个恢复方法分享
脚后跟骨裂一般需要6-12周恢复,具体时间与骨裂程度、年龄及康复措施有关。恢复方法主要有卧床制动、支具固定、物理治疗、药物镇痛和营养支持。

脚后跟骨裂的恢复周期可分为三个阶段。1-2周为急性期,需严格制动避免负重,此时疼痛肿胀明显,建议使用拐杖辅助行走。3-6周为愈合期,可在医生指导下逐步进行非负重活动,通过X光监测骨痂形成情况。6-12周为功能恢复期,多数患者可逐步恢复轻度负重,但完全承重需经专业评估。恢复期间需避免跳跃、奔跑等剧烈运动,防止二次损伤。定期复查对判断愈合进度至关重要,延迟愈合者可能需要延长固定时间。

卧床制动是骨裂初期的基础治疗,需保持患肢抬高15-30度以减轻肿胀。支具固定多选用行走靴或石膏托,需持续佩戴4-8周,每日检查皮肤受压情况。物理治疗包括超声波和低频脉冲电磁场,能促进局部血液循环,每周进行2-3次。药物镇痛可选用布洛芬缓释胶囊或对乙酰氨基酚片,但须避免长期使用。营养补充应注重钙质和维生素D摄入,每日建议饮用300-500毫升牛奶,适量进食鱼类和坚果。康复训练应从被动关节活动开始,逐步过渡到抗阻练习,整个过程需在康复师指导下进行。

恢复期间建议保持均衡饮食,多摄入富含胶原蛋白的食物如猪蹄和鸡爪。避免吸烟饮酒,尼古丁和酒精会延缓骨骼愈合。每日进行脚趾屈伸练习预防关节僵硬,但需控制幅度避免疼痛。选择透气性好的支具衬垫,定期清洁皮肤防止压疮。若出现持续疼痛或皮肤发紫需及时就医,可能提示固定不当或血液循环障碍。完全康复后三个月内应避免高强度运动,逐步增加活动量有助于功能完全恢复。