正常血细胞在酯酶双染色后的反应是怎样的
正常血细胞在酯酶双染色后通常呈现特异性酯酶阳性(粒细胞系)与非特异性酯酶阳性(单核细胞系)的双重染色特征,淋巴细胞及红细胞系一般为阴性反应。

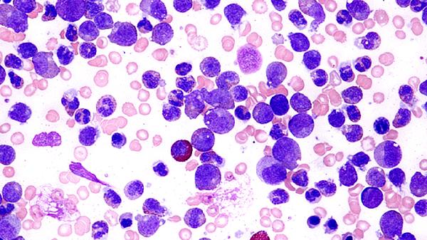
酯酶双染色是骨髓细胞化学染色的重要方法,通过α-萘酚丁酸酯酶和氯乙酸酯酶的联合反应区分不同细胞系。粒细胞胞质内氯乙酸酯酶活性较高,染色后呈现鲜红色颗粒,尤其在中幼粒细胞及以下阶段表现显著。单核细胞及巨噬细胞的α-萘酚丁酸酯酶活性较强,经染色后胞质出现棕黑色弥漫性沉淀,可被氟化钠抑制。淋巴细胞与红细胞缺乏这两种酯酶活性,染色后胞质保持无色或浅背景色。巨核细胞和浆细胞通常也呈阴性反应,但偶见弱阳性表现。

染色结果的判读需结合细胞形态学特征。粒细胞系从早幼粒细胞阶段开始出现特异性酯酶阳性,随分化成熟阳性程度增强,成熟中性粒细胞呈现强阳性。单核细胞系的非特异性酯酶阳性从原始单核细胞即可检出,幼稚单核细胞阳性程度最高。部分病理情况下可能出现染色特性的改变,如急性单核细胞白血病时非特异性酯酶强阳性且不被氟化钠完全抑制。

进行酯酶双染色检查时,建议由血液科医师结合外周血象、骨髓形态及免疫分型等综合评估。检查前无须特殊准备,但需确保骨髓涂片制备规范,避免染色过程中出现脱片或沉淀干扰。若发现染色结果异常,应及时完善染色体核型分析、基因检测等进一步检查。