腋下肋骨疼痛是什么原因引起的
腋下肋骨疼痛可能与肋间神经痛、肋软骨炎、肋骨骨折、带状疱疹、胸膜炎等因素有关。腋下肋骨疼痛通常表现为局部刺痛、钝痛或放射痛,可能伴随红肿、皮肤异常等症状。建议及时就医,明确病因后针对性治疗。

1、肋间神经痛
肋间神经痛可能与病毒感染、胸椎退行性变、外伤等因素有关,通常表现为单侧肋骨区域阵发性或持续性疼痛,咳嗽或深呼吸时加重。可遵医嘱使用甲钴胺片、维生素B1片、加巴喷丁胶囊等营养神经药物。急性期需避免剧烈运动,局部热敷有助于缓解症状。
2、肋软骨炎
肋软骨炎多因劳损、外伤或感染导致肋软骨无菌性炎症,疼痛多位于第2-4肋软骨交界处,按压时疼痛加剧。可遵医嘱使用双氯芬酸钠缓释片、塞来昔布胶囊等非甾体抗炎药,配合局部涂抹双氯芬酸二乙胺乳胶剂。日常应避免提重物及过度伸展胸廓。
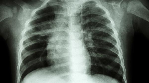
3、肋骨骨折
肋骨骨折常由外力撞击或骨质疏松引起,疼痛呈尖锐刺痛且随体位变化,可能伴随皮下淤血、骨擦音。需通过X线确诊,轻度骨折可佩戴肋骨固定带,遵医嘱使用洛索洛芬钠片、氨酚羟考酮片缓解疼痛。恢复期需保持呼吸道通畅,避免肺部感染。

4、带状疱疹
带状疱疹由水痘-带状疱疹病毒再激活引发,初期表现为肋间皮肤灼痛,后续出现簇状水疱。可遵医嘱早期使用阿昔洛韦片、泛昔洛韦片抗病毒,配合普瑞巴林胶囊缓解神经痛。皮疹期需保持皮肤清洁,避免抓挠导致继发感染。
5、胸膜炎
胸膜炎多继发于肺炎、结核等疾病,疼痛随呼吸运动加重,可能伴随发热、咳嗽。需通过胸片或CT明确病因,细菌性胸膜炎可遵医嘱使用头孢呋辛酯片、左氧氟沙星片等抗生素。急性期应卧床休息,采取患侧卧位减轻疼痛。

日常应注意保持规律作息,避免熬夜和过度劳累。疼痛发作时可尝试调整呼吸节奏,采用腹式呼吸减轻胸廓牵拉。饮食宜清淡,适量补充富含维生素B族的食物如西蓝花、鸡蛋等,避免辛辣刺激食物。若疼痛持续超过3天或伴随呼吸困难、高热等症状,须立即就医排查心肺急症。康复期间可进行温和的肩颈拉伸运动,但需避免突然扭转躯干的动作。