脑肿瘤会流鼻血吗 脑肿瘤的各种症状详述
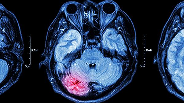
脑肿瘤患者可能会出现流鼻血,但并非典型症状。脑肿瘤的症状主要有头痛、恶心呕吐、视力障碍、肢体无力、癫痫发作等。流鼻血更常见于鼻腔局部病变或血液系统疾病。

头痛是脑肿瘤最常见的症状,通常表现为持续性钝痛或胀痛,晨起时加重,咳嗽或低头时疼痛加剧。恶心呕吐多伴随头痛出现,呈喷射性呕吐,与进食无关。视力障碍包括视物模糊、视野缺损或复视,可能与肿瘤压迫视神经或视交叉有关。肢体无力常表现为单侧肢体活动不灵活,严重时可出现偏瘫。癫痫发作形式多样,包括全身强直阵挛发作或局部抽搐,与肿瘤刺激大脑皮层有关。

流鼻血在脑肿瘤患者中相对少见,若出现可能与以下情况相关:肿瘤侵犯颅底骨质累及鼻腔血管,或长期使用抗凝药物导致凝血功能异常。但更多情况下,反复流鼻血应优先考虑鼻腔炎症、外伤、高血压或血液病等因素。脑肿瘤伴随的鼻出血通常量较大且难以止血,可能伴有其他神经系统症状。

脑肿瘤患者应保持规律作息,避免剧烈运动和情绪激动。饮食宜清淡易消化,适当补充优质蛋白和维生素。出现不明原因头痛、呕吐或神经系统症状时,应及时进行头颅CT或MRI检查。确诊脑肿瘤后需遵医嘱治疗,可选择手术切除、放疗或化疗等方案。日常注意观察症状变化,定期复查评估病情进展。