牙龈长扁平苔藓有哪些症状
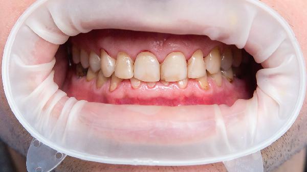
牙龈长扁平苔藓主要表现为白色网状条纹、黏膜充血糜烂、疼痛敏感等症状。扁平苔藓是一种慢性炎症性黏膜疾病,可能与免疫异常、遗传因素、精神压力、局部刺激或病毒感染等因素有关。

1、白色网状条纹
牙龈扁平苔藓的典型特征是口腔黏膜出现白色或灰白色网状、树枝状条纹,称为威克姆纹。这些条纹略微隆起于黏膜表面,边界清晰,触诊时有粗糙感。病变多对称分布于牙龈、颊黏膜等部位,可能伴随轻度灼热感。日常需避免辛辣食物刺激,严重时可遵医嘱使用复方氯己定含漱液、曲安奈德口腔软膏或他克莫司软膏局部治疗。
2、黏膜充血糜烂
部分患者会出现黏膜充血发红,表面出现不规则糜烂或溃疡,触碰时易出血。糜烂面可能覆盖黄色假膜,进食酸性或硬质食物时疼痛加剧。这种情况可能与局部免疫反应过度激活有关,需注意口腔卫生,避免继发感染。临床常用醋酸泼尼松龙注射液局部封闭、重组人表皮生长因子凝胶或西吡氯铵含片辅助修复黏膜。
3、疼痛敏感
病变区域常有持续性灼痛或刺痛感,尤其在接触刺激性食物时症状加重。疼痛程度与糜烂范围相关,可能影响正常进食和说话。患者可选用苯佐卡因凝胶临时止痛,配合康复新液含漱促进创面愈合。长期疼痛需排查是否合并真菌感染,必要时使用制霉菌素片。

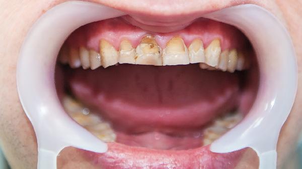
4、牙龈萎缩
长期未治疗的扁平苔藓可能导致牙龈边缘萎缩,牙根部分暴露,出现牙齿敏感症状。萎缩区黏膜变薄,呈鲜红色,易受牙刷摩擦损伤。日常建议使用软毛牙刷,避免横向刷牙动作。可遵医嘱应用氟化钠甘油糊剂减轻敏感,或采用牙龈移植术修复缺损。
5、色素沉着
慢性炎症反复发作可能引起黏膜色素沉着,表现为褐色或灰黑色斑块,多发生于糜烂愈合后。这种改变通常无须特殊处理,但需定期复查排除恶变风险。若影响美观,可咨询医生使用氢醌乳膏或采用激光治疗。

牙龈扁平苔藓患者应保持规律作息,减少焦虑情绪,避免吸烟饮酒等刺激因素。饮食选择温凉软食,补充维生素B族和锌元素有助于黏膜修复。建议每3-6个月进行一次口腔检查,监测病变变化,出现糜烂面积扩大、硬结或长期不愈时需及时活检排除癌变可能。日常护理可配合使用含芦荟或维生素E的温和型牙膏。