肺钙化能活多久 做好四件事远离肺钙化困扰
肺钙化患者的生存期通常不受影响,多数属于良性病变或陈旧性病灶,做好日常防护可有效控制病情进展。肺钙化可能与肺结核痊愈后钙盐沉积、尘肺病、肺部感染后修复等因素有关,建议定期随访胸部CT并做好四件事:戒烟、避免粉尘接触、预防呼吸道感染、均衡营养。

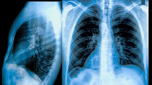
肺钙化本身极少直接影响寿命,其预后主要取决于原发病因及肺部功能状态。陈旧性肺结核导致的钙化灶若无活动性病变,通常无须特殊处理;职业性粉尘接触者需脱离污染环境并每年进行肺功能检测;慢性呼吸道疾病患者应接种流感疫苗和肺炎疫苗减少感染风险。钙化灶若伴随肺纤维化或慢性阻塞性肺病,可能出现咳嗽、活动后气促等症状,此时需通过低强度有氧运动维持肺功能。

远离肺钙化困扰需建立系统性防护措施。吸烟者应立即戒烟并减少二手烟暴露,烟草中的焦油会加重肺部炎症反应。从事采矿、建筑等行业者须规范佩戴防尘口罩,居家可使用空气净化器降低PM2.5浓度。冬季注意保暖防寒,呼吸道感染后及时治疗避免迁延不愈。饮食中增加西蓝花、胡萝卜等富含维生素A的蔬菜,有助于肺泡上皮修复。合并慢阻肺患者可进行腹式呼吸训练,每日2次,每次10分钟。

建议每6-12个月复查高分辨率CT观察钙化灶变化,若出现新发结节、钙化灶增大或伴随胸腔积液等情况需及时就诊。日常可监测血氧饱和度,静息状态下低于95%时需评估肺功能。保持适度运动如快走、游泳等有氧活动,运动时心率控制在(220-年龄)×60%的安全范围内。出现不明原因体重下降、咯血或持续性胸痛时,应排除恶性肿瘤等继发病变。