肋软骨炎需要做ct吗 肋软骨炎需做这几个检查
肋软骨炎通常不需要做CT检查,诊断主要依靠临床体格检查、血液检查和影像学检查。肋软骨炎的常用检查方式主要有体格检查、血常规、X线检查、超声检查和磁共振成像。

1、体格检查
医生通过触诊可发现肋软骨部位存在明显压痛,局部可能出现肿胀或隆起,但皮肤表面无发红发热表现。体格检查是诊断肋软骨炎的首要步骤,能初步判断炎症范围和严重程度。对于典型病例,结合病史和体格检查即可确诊。
2、血常规
血常规检查可显示白细胞计数正常或轻度升高,C反应蛋白和血沉可能略有增高。这些指标有助于排除细菌感染或其他全身性疾病。若指标明显异常,需考虑化脓性肋软骨炎等特殊类型,此时可能需要进一步检查。
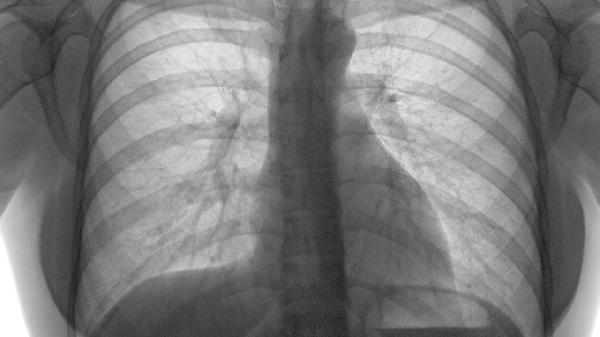
3、X线检查
X线检查主要用于排除肋骨骨折、肺部疾病或胸椎病变等相似症状疾病。典型肋软骨炎在X线下多无异常表现,因为肋软骨在X线下不显影。这项检查对鉴别诊断具有重要意义,可帮助确认肋软骨炎的诊断。

4、超声检查
高频超声能清晰显示肋软骨及其周围软组织变化,可发现肋软骨增厚、回声不均等炎症表现。超声检查无辐射、操作简便,特别适合孕妇和儿童患者。动态观察还能评估治疗效果,是肋软骨炎的重要辅助诊断手段。
5、磁共振成像
磁共振成像能更清晰显示肋软骨及周围软组织炎症改变,对不典型病例的诊断价值较高。但由于检查费用昂贵且耗时长,通常不作为常规检查项目。仅在需要与其他严重疾病鉴别时考虑采用。

肋软骨炎患者应注意休息,避免剧烈运动和胸部外伤。可尝试热敷缓解疼痛,穿着宽松衣物减少局部压迫。饮食上多摄入富含维生素C和蛋白质的食物,如新鲜水果、瘦肉等,有助于组织修复。若疼痛持续加重或出现发热等全身症状,应及时复诊调整治疗方案。日常保持良好的坐姿和站姿,避免长时间保持同一姿势造成胸部肌肉紧张。