脚骨折多久能走路 6个护理让骨折脚成功行走
脚骨折后通常需要6-12周才能逐步恢复行走,具体时间与骨折类型、部位及康复情况有关。护理措施主要有固定制动、冰敷消肿、抬高患肢、营养补充、功能锻炼、定期复查等。

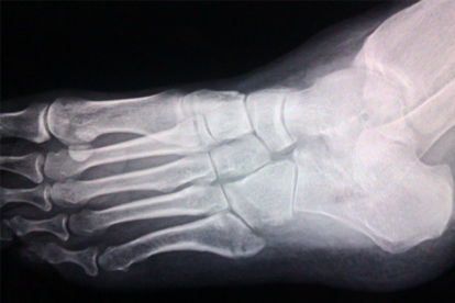
脚骨折后的恢复时间差异较大,轻微骨裂可能6-8周即可尝试部分负重,而粉碎性骨折或关节内骨折需12周以上。骨折初期1-2周需严格制动,通过石膏或支具固定防止移位。2-4周后经影像学检查确认骨痂形成,可在医生指导下开始踝关节被动活动。4-6周后逐步进行无负重肌肉训练,如足趾屈伸运动。6周后根据愈合情况使用拐杖辅助部分负重,8-12周过渡到完全负重行走。康复期间需避免过早承重导致二次损伤,定期复查X线片观察愈合进度。
固定制动需保持石膏干燥清洁,观察肢体末端血运和感觉。冰敷每日3-4次,每次15分钟减轻肿胀疼痛。抬高患肢需高于心脏水平,促进静脉回流。饮食应增加钙质、维生素D和优质蛋白摄入,如牛奶、鱼类、豆制品。功能锻炼从非负重活动开始,逐步增加踝泵运动、抗阻训练。定期复查可及时调整康复方案,发现延迟愈合或畸形愈合需干预处理。