跟骨舌型骨折的检查方法有哪些
跟骨舌型骨折可通过X线检查、CT检查、MRI检查、骨扫描、超声检查等方法诊断。跟骨舌型骨折多由高处坠落、交通事故等外力作用导致,表现为足跟疼痛、肿胀、活动受限等症状。

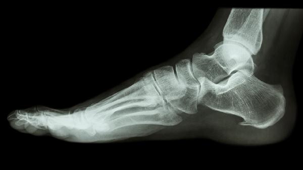
1、X线检查
X线检查是诊断跟骨舌型骨折的基础方法,能够清晰显示骨折线的位置和走向。通过正位、侧位及轴位投照,可观察跟骨的整体形态和骨折移位情况。X线检查操作简便且成本较低,适合作为初步筛查手段。但该检查对细微骨折或软组织损伤的显示效果有限。
2、CT检查
CT检查能提供跟骨的三维重建图像,精确显示骨折块的立体空间关系。薄层扫描可识别关节面塌陷程度和骨折线延伸范围,对制定手术方案具有重要指导价值。多平面重建技术有助于评估跟骨后关节面的损伤情况,其分辨率显著优于普通X线检查。
3、MRI检查
MRI检查对软组织损伤的评估具有独特优势,可清晰显示跟骨周围韧带、肌腱及骨髓水肿情况。该检查能早期发现骨挫伤和隐性骨折,对判断损伤范围提供补充信息。MRI特别适用于评估跟腱是否合并损伤,但检查时间较长且费用较高。

4、骨扫描
骨扫描通过放射性核素显像反映骨骼代谢活性,对隐匿性骨折的敏感性较高。该检查可发现X线难以显示的早期微小骨折,适用于骨质疏松患者的骨折筛查。但骨扫描特异性较低,需结合其他影像学检查综合判断,且存在辐射暴露风险。
5、超声检查
超声检查可用于评估跟骨周围软组织损伤情况,特别是跟腱断裂或滑囊炎的诊断。该技术无辐射且操作灵活,适合儿童或孕妇等特殊人群的初步评估。但超声对骨折本身的显示效果有限,通常作为辅助检查手段。

确诊跟骨舌型骨折后应避免患肢负重,早期可采用冰敷缓解肿胀。康复期间建议穿戴保护性支具,逐步进行踝关节活动度训练。饮食需保证充足钙质和维生素D摄入,如牛奶、豆制品、深海鱼类等。定期复查影像学评估骨折愈合进度,严重移位骨折需考虑手术治疗恢复关节面平整度。