尘肺病与慢阻肺的区别是什么
尘肺病与慢阻肺是两种不同的呼吸系统疾病,主要区别在于病因、病理改变及临床表现。尘肺病主要由长期吸入无机粉尘引起肺部纤维化,慢阻肺则多与吸烟或有害气体暴露导致的气道炎症和肺气肿相关。

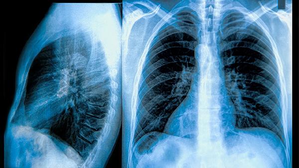
尘肺病属于职业性肺病,病理特征为肺组织不可逆纤维结节形成,早期可能仅表现为咳嗽、咳痰,随着病情进展会出现胸闷气促、肺功能持续下降,严重者可合并肺心病。影像学可见特征性小结节或大块纤维化阴影。慢阻肺的核心病变是小气道炎症和肺泡结构破坏,典型症状为持续性气流受限,表现为活动后呼吸困难反复加重,常伴有慢性支气管炎或肺气肿体征,肺功能检查显示阻塞性通气障碍。

尘肺病患者通常有明确粉尘接触史,脱离暴露环境后病情可能稳定,但已形成的纤维化不可逆转。慢阻肺患者多有长期吸烟史,戒烟可延缓病情进展但难以阻止疾病发展。两种疾病晚期均可出现呼吸衰竭,但尘肺病更易合并肺结核等并发症,慢阻肺则常急性加重需反复住院治疗。

日常需避免接触粉尘或烟雾刺激,坚持呼吸康复训练,定期监测肺功能。出现持续咳嗽、呼吸困难等症状应及时到呼吸科就诊,通过胸部CT、肺功能等检查明确诊断,遵医嘱使用支气管扩张剂或抗纤维化治疗,重症患者可能需要氧疗支持。