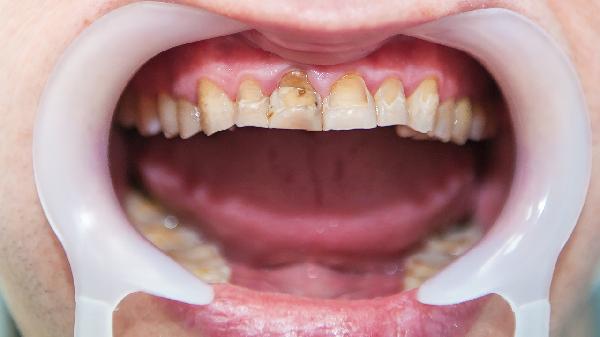
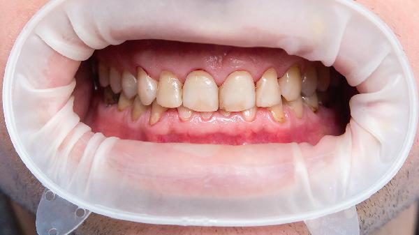
牙龈上长了个脓包怎么回事
牙龈上长脓包可能由牙周脓肿、根尖周炎、智齿冠周炎、牙髓坏死或外伤感染等原因引起,可通过切开引流、根管治疗、抗生素治疗、拔牙或局部冲洗等方式处理。

1、牙周脓肿
牙周脓肿通常与牙菌斑堆积导致牙龈发炎有关,表现为牙龈红肿、按压疼痛伴脓液渗出。发病可能与口腔卫生不良、糖尿病控制不佳等因素相关。治疗需由医生进行脓肿切开引流,配合使用甲硝唑片、阿莫西林胶囊等抗生素控制感染,后期需接受龈下刮治等牙周治疗。
2、根尖周炎
未经治疗的龋齿可能引发牙髓感染并扩散至根尖区,形成根尖周脓肿。典型症状包括咬合痛、牙龈鼓包及牙齿松动。需通过根管治疗清除坏死牙髓,严重者需配合使用头孢克肟分散片、布洛芬缓释胶囊缓解炎症和疼痛。
3、智齿冠周炎
阻生智齿周围软组织感染可形成脓包,常伴有张口受限和颌面部肿胀。发病与智齿萌出空间不足、食物嵌塞有关。急性期需用复方氯己定含漱液冲洗盲袋,必要时口服罗红霉素胶囊,炎症消退后建议拔除阻生齿。

4、牙髓坏死
外伤或深龋导致的牙髓坏死可能引起根尖区化脓性病变,表现为牙龈反复起包、牙齿变色。需通过根管治疗疏通根管引流,配合使用对乙酰氨基酚片缓解疼痛,缺损较大的牙齿需桩冠修复。
5、外伤感染
牙龈刺伤或牙齿折断后未及时处理可能继发感染,形成局限性脓包。需清除创口异物后使用碘甘油局部涂抹,严重感染者需服用阿奇霉素分散片,同时避免用患侧咀嚼硬物。

日常应使用软毛牙刷和牙线清洁口腔,每6个月进行专业洁牙。出现脓包时禁止自行挑破,避免进食辛辣刺激食物。若伴随发热或面部肿胀需立即就医,糖尿病患者需加强血糖监测。哺乳期患者用药前需告知医生,儿童患者家长应监督其按时漱口。