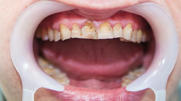
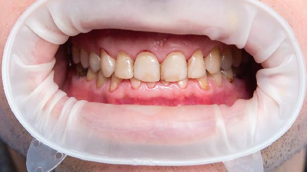
哪些方法能够预防牙龈退缩
预防牙龈退缩可通过保持口腔卫生、均衡饮食、戒烟限酒、定期口腔检查、避免过度刷牙等方式实现。牙龈退缩可能与牙周炎、牙齿排列不齐、刷牙方式不当、内分泌失调、遗传等因素有关。

1、保持口腔卫生
每日使用软毛牙刷和含氟牙膏刷牙两次,配合牙线或冲牙器清洁牙缝,有助于清除牙菌斑。牙菌斑长期堆积会刺激牙龈,导致炎症和退缩。建议饭后漱口,减少食物残渣滞留。对于牙周炎患者,可遵医嘱使用复方氯己定含漱液辅助控制炎症。
2、均衡饮食
适量摄入维生素C含量高的西蓝花、猕猴桃等食物,有助于维持牙龈结缔组织健康。钙质丰富的乳制品和优质蛋白如鱼类可增强牙槽骨密度。避免长期食用高糖食物,糖分代谢产物会加速牙周组织破坏。
3、戒烟限酒
烟草中的尼古丁会导致牙龈血管收缩,降低局部免疫力,增加牙周病风险。酒精会刺激口腔黏膜并引发脱水,影响唾液对牙齿的保护作用。有研究显示,吸烟者牙龈退缩概率显著高于非吸烟人群。

4、定期口腔检查
每6-12个月进行专业洁牙,可清除牙刷无法去除的牙结石。口腔医生能早期发现牙齿排列异常或咬合创伤等问题,及时通过正畸或调颌治疗干预。对于已出现轻度退缩者,可考虑使用脱敏牙膏缓解症状。
5、避免过度刷牙
采用巴氏刷牙法,牙刷与牙龈呈45度角轻柔颤动,避免横向用力刷洗牙颈部。硬毛牙刷和摩擦剂含量高的牙膏可能损伤牙龈组织。夜间有磨牙习惯者应佩戴咬合垫,防止牙齿过度磨耗导致牙龈受力异常。

建议每年进行口腔健康状况评估,发现牙龈红肿、出血或牙齿敏感等症状时及时就诊。妊娠期、更年期等特殊阶段需加强口腔护理,控制激素变化对牙龈的影响。糖尿病患者应严格监测血糖,高血糖环境易诱发牙周疾病。日常可按摩牙龈促进血液循环,但避免使用牙签等尖锐物品刺激牙龈组织。