中枢神经系统囊虫病有哪几种分类
中枢神经系统囊虫病可分为脑实质型、脑室型、蛛网膜下腔型和混合型四种类型。

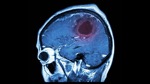
1、脑实质型
脑实质型是囊尾蚴寄生在大脑皮层或深部灰质核团引起的类型。患者可能出现癫痫发作、头痛、肢体无力等症状。病灶多呈多发小圆形低密度影,周围伴有水肿带。该型需与脑肿瘤、结核瘤等疾病鉴别诊断。治疗可采用阿苯达唑片联合泼尼松片控制炎症反应,严重时需手术切除病灶。
2、脑室型
脑室型指囊尾蚴寄生于脑室系统内,常见于第四脑室。典型表现为阵发性剧烈头痛伴呕吐,改变头位可诱发症状。易导致脑脊液循环障碍引发脑积水。头部CT可见脑室内圆形充盈缺损。治疗需脑室腹腔分流术解除梗阻,配合吡喹酮片杀虫治疗。

3、蛛网膜下腔型
蛛网膜下腔型为囊尾蚴寄生在脑底池或脊髓蛛网膜下腔的类型。主要引起脑膜刺激症状如颈强直、持续头痛,可能伴随颅神经麻痹。腰穿可见脑脊液压力增高,嗜酸性粒细胞增多。治疗以甲苯咪唑片驱虫为主,合并脑膜炎时需加用地塞米松注射液。
4、混合型
混合型指同时存在两种以上寄生类型的复杂情况。临床表现多样且严重,可能同时出现癫痫、脑积水、脑膜炎等多种症状。影像学检查可见多部位病灶共存。治疗需根据主要病变部位制定个体化方案,通常需要药物与手术联合干预。

中枢神经系统囊虫病患者应保持饮食卫生,彻底煮熟肉类食品,避免生食或半生不熟的猪肉。日常注意观察神经系统症状变化,定期复查头部影像学检查。药物治疗期间可能出现头痛加重等不良反应,应及时就医调整用药方案。康复期可进行适度肢体功能锻炼,但需避免剧烈运动诱发癫痫发作。