脑出血、脑栓塞、脑血栓形成的区别是什么
脑出血、脑栓塞、脑血栓形成的主要区别在于发病机制和病理特点,三者均属于脑血管疾病,但病因、临床表现及治疗方式存在显著差异。

1、发病机制:
脑出血是脑血管破裂导致血液外溢至脑实质,常见于高血压引起的动脉瘤破裂;脑栓塞由心脏或大血管脱落的栓子阻塞远端脑血管所致,常见于房颤患者;脑血栓形成则是脑动脉粥样硬化斑块破裂后局部血栓形成,导致血管闭塞。
2、起病速度:
脑出血和脑栓塞通常表现为突发症状,前者多在活动中起病,后者与栓子脱落时间相关;脑血栓形成症状进展相对缓慢,常见于安静状态或晨起时,可能经历短暂性脑缺血发作的前驱期。
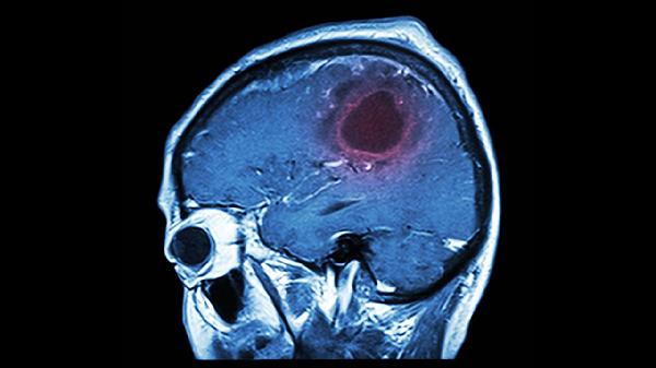
3、影像学特征:
CT检查中脑出血表现为高密度影,脑栓塞可见责任血管供血区低密度灶,常伴出血性梗死;脑血栓形成的梗死灶多呈楔形,与动脉分布区一致。MRI的DWI序列对早期脑梗死具有更高敏感性。

4、基础疾病:
脑出血患者多合并高血压和脑血管淀粉样变性;脑栓塞常见病因包括房颤、心脏瓣膜病和卵圆孔未闭;脑血栓形成患者往往存在糖尿病、高脂血症等动脉粥样硬化危险因素。
5、治疗原则:
脑出血需控制血压、降低颅内压,必要时行血肿清除术;脑栓塞需抗凝治疗预防复发,常用华法林或新型口服抗凝药;脑血栓形成在时间窗内可静脉溶栓,阿替普酶是首选药物,超出时间窗需抗血小板聚集治疗。

脑血管疾病患者需长期控制血压在140/90mmHg以下,低盐低脂饮食,每日钠摄入不超过5克。建议每周进行150分钟中等强度有氧运动,如快走或游泳。戒烟限酒,保持规律作息,糖尿病患者应将糖化血红蛋白控制在7%以下。定期监测血脂,低密度脂蛋白胆固醇应低于2.6mmol/L。存在房颤者需遵医嘱坚持抗凝治疗,避免擅自调整药物剂量。出现言语不清、肢体无力等预警症状时需立即就医。