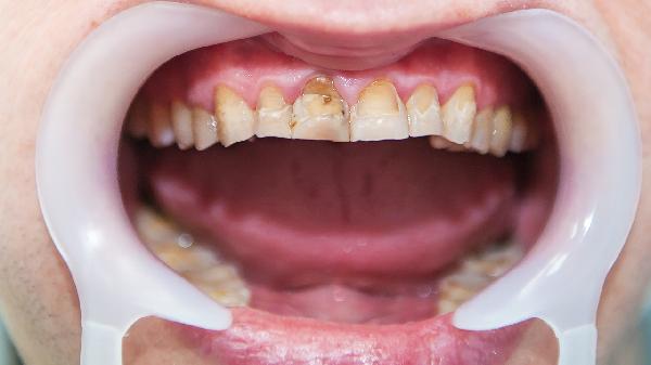
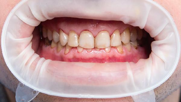
牙龈肿是怎么回事
牙龈肿可能是由牙龈炎、牙周炎、口腔卫生不良或全身性疾病引起的,需根据具体原因采取针对性治疗。牙龈肿胀通常与细菌感染、食物残渣堆积或激素变化有关,严重时可能伴随疼痛、出血或牙齿松动。

牙龈肿胀的常见原因是牙龈炎或牙周炎,主要由牙菌斑和牙结石堆积引起。细菌在牙龈边缘繁殖,导致炎症反应,表现为红肿、疼痛和出血。口腔卫生不良是主要诱因,如刷牙不彻底、不使用牙线或漱口水。激素变化如怀孕期间也可能导致牙龈敏感和肿胀。全身性疾病如糖尿病、免疫系统疾病或维生素缺乏也可能影响牙龈健康。外伤或不当的牙齿修复也可能引发局部牙龈肿胀。

针对牙龈肿胀,治疗方法包括改善口腔卫生、药物治疗和专业牙科护理。每天至少刷牙两次,使用含氟牙膏,配合牙线清理牙缝,饭后漱口有助于减少细菌滋生。药物治疗可选择抗菌漱口水如氯己定漱口水或局部涂抹消炎药膏如复方氯己定软膏。对于严重感染,医生可能开具口服抗生素如阿莫西林或甲硝唑。牙科护理方面,定期洗牙清除牙结石,必要时进行龈下刮治或牙周手术。饮食上,减少高糖食物摄入,多吃富含维生素C的水果蔬菜如橙子、菠菜有助于牙龈修复。

如果牙龈肿胀持续超过一周,伴随剧烈疼痛、发热或牙齿松动,应及时就医。避免自行使用偏方或过度用力刷牙,以免加重症状。定期进行口腔检查,尤其是孕妇、糖尿病患者或免疫力低下人群,有助于早期发现和预防牙龈问题。